Smile Makeovers in Hagerstown, MD
Your Smile, Restored or Reimagined to Reflect the Real You
Transform Your Smile, Transform Your Life
A radiant, healthy smile isn’t just about aesthetics, it’s about feeling empowered, confident, and fully yourself in every moment that matters.
Smile transformation at Potomac Dental Centre goes beyond cosmetic enhancement. We take a comprehensive approach that combines artistry with advanced dental care to give you a smile that looks stunning and protects your oral health for years to come.
Your Smile Deserves More
Maybe you’ve been dreaming of a brighter, more aligned smile. Or perhaps you don’t realize that worn, chipped, or misaligned teeth aren’t just cosmetic concerns. They can lead to serious dental problems down the road.
At Potomac Dental Centre, we address both. Whether you’re seeking a confidence boost or need protective restoration to prevent future damage, our smile transformation solutions are designed to help you look incredible and safeguard your dental health.

Beautiful By Design. Protective By Nature.
Instantly brighter,
more symmetrical teeth
Correct chips, cracks, collapsed bites, gaps, and misalignment
Strengthen weakened enamel and prevent further wear
Custom-crafted for a natural, stunning appearance
Long-lasting protection and beauty in one solution
Renewed confidence in your smile and yourself
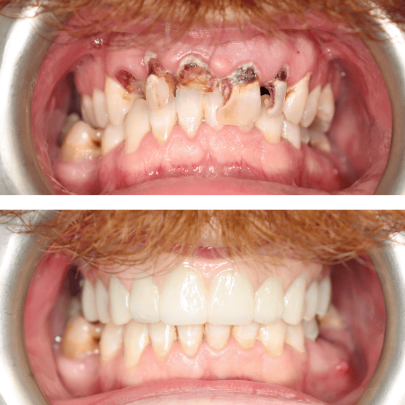
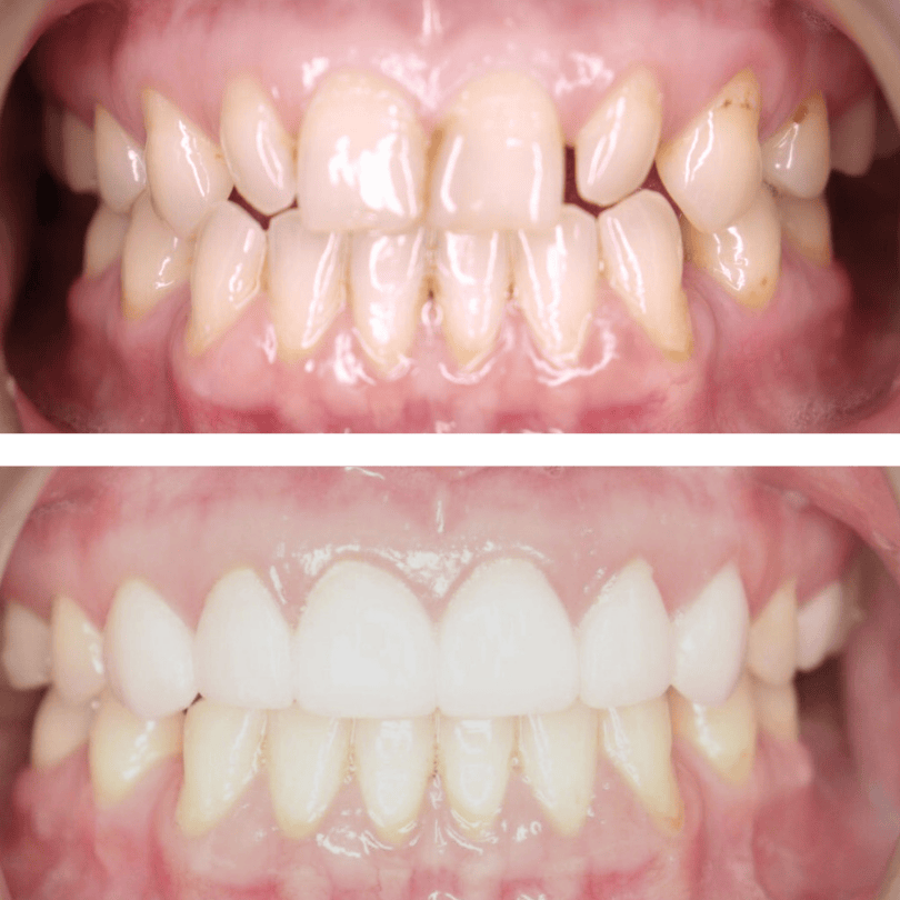
Real Lives Changed


Artistry Meets Advanced Dentistry
At Potomac Dental Centre, Smile Transformations Are Both Beautiful and Strategic.
Our team combines aesthetic excellence with clinical expertise to create custom solutions that enhance your appearance while preserving and protecting your dental health. We use the latest technology and highest-quality materials to ensure your transformation lasts beautifully for decades. Because when you invest in your smile, everything changes.

Frequently Asked Questions

Is Smile Transformation Right For You?
You’re Ready If:
You’ve always wanted a brighter, more confident smile and you’re finally ready to make it happen. You want to walk into every room knowing your smile looks its absolute best.
You Might Not Know You Need It If:
You’ve noticed chips, shorter teeth, or discoloration but figured it’s “just cosmetic.” You experience occasional sensitivity or jaw discomfort. Your teeth don’t fit together quite right when you bite. You grind your teeth at night. These aren’t minor issues—they’re opportunities to prevent serious problems while creating the smile you deserve.
Your Smile. Reimagined.
Whether you’re ready for the smile you’ve always wanted or need protection from damage you didn’t know existed, we’re here to help. Schedule your consultation today and discover what’s possible.

